识别卒中早一秒 挽救大脑恢复好

神经内科桥接取栓显奇效

版名:综合要闻
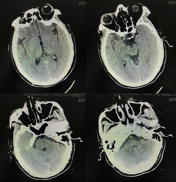
术后复查颅脑CT无脑出血转化

术中从基底动脉尖取出的血栓

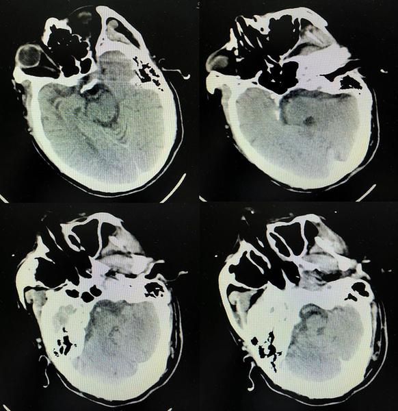
颅脑MRA示双侧大脑后动脉及双侧小脑上动脉未见显影,基底动脉远端闭塞

颅脑CT未见出血

颅脑DWI示左侧小脑半球、左侧颞叶、双侧枕叶急性脑梗死

患者术前及术后的脑血管造影DSA对比图

  本报讯近日,神经内科介入团队为一位院内卒中患者桥接取栓,及时挽救了患者生命。
  10月28日晚,神经内科病房内,值班医生正在巡视住院患者。突然传来一声“不好了,患者吐啦,医生快来”的呼救打破了病房的平静,原来是一位下午刚因头晕收治的患者突发不适。
  神经内科住院总医师李雯娴立即床旁查看患者。在王娅静、胡姣姣护士的配合下,在给患者查体同时迅速完善血糖、血压测量以及血常规等相关抽血检查,测指尖血糖7.6mmol/L,血压181/105mmHg。处于昏睡(意识障碍),双眼向右侧部分凝视,双侧瞳孔小直径约2mm,对光反射迟钝,左上肢肌力约III级,左下肢肌力约II+级,右上肢肌力I级,右下肢肌力II级(肢体无力),右侧巴氏征阳性,左侧巴氏征可疑阳性。意识到患者应该是发生了急性脑卒中,在医护陪同下迅速进入脑卒中绿色通道,在影像科的配合下,以最快的速度完善颅脑CT、核磁DWI及MRA检查。
  此时,患者的意识状态进一步恶化,呼之不应,肢体瘫痪,间断呕吐胃内容物,双侧眼球部分凝视,双侧瞳孔不等大,左侧瞳孔6mm,右侧2.5mm,对光反射均迟钝,神经系统NIHSS评分已经达到20分(NIHSS评分>15分为中重度卒中,分数越高提示神经受损越严重)。
  结合患者的临床症状及影像学资料,当日值班二线范清雨主治医师迅速意识到患者符合基底动脉尖综合征,这是一种临床表现复杂多样,病情危重,且预后差,致残率、死亡率高的特殊缺血性脑血管疾病。此时此刻,对患者而言,时间就是大脑,时间就是生命。脑血管开通越早,患者恢复的希望就越大。
  患者系院内卒中,发病时间短,在静脉溶栓时间窗内,除外静脉溶栓禁忌后,范清雨主治医师迅速又详尽地向患者家属交待病情并征得同意后,神经内科团队立即给予注射用重组人TNK组织型纤溶酶原激活剂16mg静脉溶栓治疗。然而在单纯应用静脉溶栓治疗后,患者的临床症状改善不著、效果不佳,仍存在死亡和高致残的风险。
  王虎清教授立即查看患者,与患者家属充分沟通取得同意后,神经内科介入团队其他成员范清雨主治医师、张宏医师、蒋鹏鹏护士迅速到位,导管室迅速启动,在麻醉科代志明医师的协助下为该患者进行了脑血管造影,造影证实患者基底动脉远端闭塞,同时合并右侧椎动脉闭塞,左侧椎动脉开口及V4段线样狭窄、颅内段显影不佳。神经内科介入团队医师经严谨讨论后,考虑患者目前病情危重,给予基底动脉尖负压抽吸取栓,一把完全再通,患者基底动脉血流恢复,双侧大脑后动脉及小脑上动脉显影良好。考虑患者右侧椎动脉闭塞,左侧椎动脉开口及V4段线样狭窄,仍有发生栓塞及椎基底动脉闭塞的风险,遂继续行椎动脉开口及V4段球囊扩张+支架成形术,术程顺利,手术结束时已是10月29日的凌晨。
  术后马先生恢复良好,意识完全清醒,对答如流,术后8小时能进食、进水,无吞咽困难及饮水呛咳,四肢力量恢复可,头晕症状也明显缓解。
  10月29日恰逢第17个世界卒中日,神经内科团队用最实际的病例及精准有效的治疗手段和技术,向民众宣传了“脑卒中可防可治”,加强了民众对脑卒中的认识。
  (神经内科 李雯娴)