顽疾压胸前 巧手复康健

胸外科李少民主任团队完成2例复杂纵膈肿瘤手术

版名:综合要闻
病例1:术前胸部增强CT

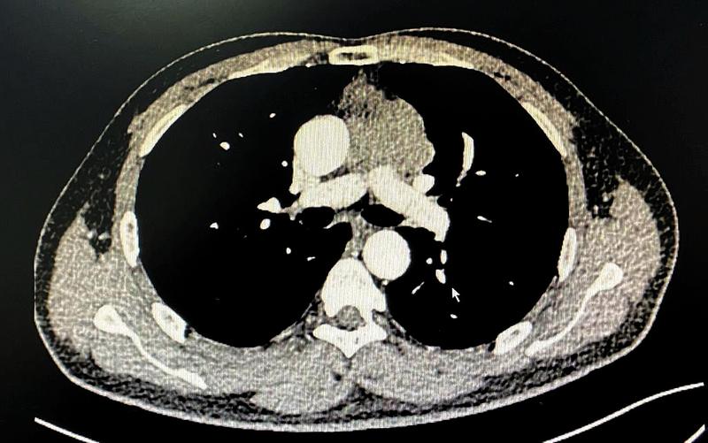
病例2:术后复查胸部X线

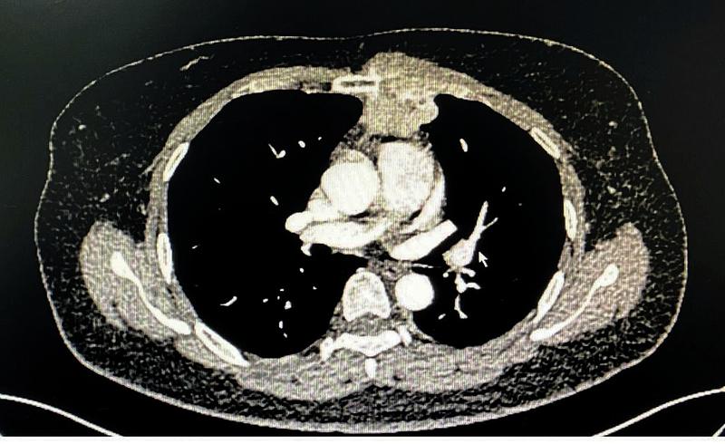
病例2:术前胸部增强CT

  本报讯近日,胸外科李少民主任团队在一周内为2例复杂纵膈肿瘤患者成功实施了肿瘤切除,目前患者恢复良好。两个病例都具有较大的手术难度和极强的挑战性。
  此位男性患者因声音嘶哑2月就诊,行胸部CT提示前纵膈可见不规则软组织密度,与主动脉弓、肺动脉主干和左肺上叶分界不清,大小约64mm x 18mm,于外院行穿刺活检示胸腺肿瘤,结合免疫组化考虑B型或AB型胸腺瘤。因手术难度大,肿瘤与周围重要组织和脏器关系密切,遂慕名转院来我院胸外科就诊。
  根据最新研究显示:胸腺瘤是较常见的成人前纵隔肿瘤,好发年龄为30-50岁,男性发病率高于女性,且20%胸腺瘤患者伴重症肌无力,手术切除为首选的治疗方案,其病理组织学分型包括:A型、AB型、B型(B1、B2和B3)以及C型(即胸腺癌),均为恶性,其中C型约占10%。患者早期多无不适,当肿瘤长到一定体积时,对周围器官的压迫可出现相应症状。该病人因属于AB型或B型,虽低度恶性,但浸润性生长,因喉返神经受侵出现声音嘶哑才引起重视。患者入院后,李少民主任率领马震川、孔冉冉主治医师和李文登住院医师,制定详细手术方案。术中如预判的一样,肿瘤侵犯主动脉弓、肺动脉干、左肺动脉主干全段以及左肺上叶肺组织,肿瘤游离困难,遂打开心包,发现肿瘤已侵入心包,并与心包内左肺动脉干起始部粘连。手术完整游离切除肿瘤及部分心包,并行心包修补和肺部分切除,手术顺利完成。术后患者自感胸闷及压迫感明显减轻,恢复良好。
  另一位女性患者发现左前胸壁肿物1周就诊,胸部CT示胸壁及前纵隔可见不规则软组织密度影,大小约48mmx40mm,长径约10cm,病灶与临近胸骨及左侧第2、3肋软骨分界不清。行超声引导下肿物穿刺活检,病理显示间叶来源肿瘤。肿瘤突破纵隔,侵犯了部分胸骨、左侧肋软骨以及胸部肌肉组织,此类型病例较少见,需切除部分受损胸骨及肋软骨,并对缺损的胸壁进行重建。由于缺损处较大,合适胸肋骨重建材料(如相应钢板和3D打印材料)价格昂贵,病人经济状况不能承担,李少民主任利用现有的胸骨钢板、肋骨环抱器以及经李少民主任改良的勾状的肋骨环抱器进行拼接,解决了长度的问题,稳定性上也表现出色,完美地重建了胸廓的完整性。手术入路也开创性的选择了胸腔镜和传统开胸手术结合的方式,从剑突下进行微创手术游离肿瘤的两侧及基底部,再从左侧胸壁开口,完整切除胸壁受侵组织,然后像打开“盖子”一样,移除肿瘤,避免了正中劈开胸骨的巨大创伤。手术过程顺利,术后恢复良好。
  (孔冉冉 马震川)