救死扶伤肩重任 接骨保肢爱无疆

记中苏阿布欧舍友谊医院首例严重开放骨折保肢手术

版名:副刊



  中苏阿布欧舍友谊医院是中国(陕西)最早援苏丹的医疗单位,有50年历史,位于苏丹南部的青尼罗河盼,距离首都约160公里,地理环境差、经济极其落后,相之医疗设施、设备及医疗技术落后。但医院在中国医疗队的长期帮扶下,开设专业齐全、技术力量雄厚,在阿布欧舍及周边地区乃至整个苏丹影响巨大。来自于陕西省汉中市中心医院骨科的余国勇,作为陕西省第37批援苏丹中国医疗队员,来到此医院工作,他也成为了这所医院唯一的骨科医生。
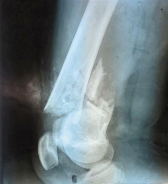
  开放骨折最常见的原因是车祸,尤其是在交通工具相对落后、安全系数较差的苏丹,车祸致开放骨折患者非常多;最重要的是医疗设备落后及医疗环境差导致开放骨折致残率和截肢率极高。7月20日,余国勇大夫救治一严重开放骨折患者,入院时已13小时,出血多,患者已几乎处于休克状态,需抢救及行急诊手术,但要行手术需克服重重困难:1.受伤已超过6-8小时,伤口感染的风险极高;2.需输血,但血液需从首都送,最少需要4小时;3.无准备的骨折固定器械等。这里医疗条件落后,以往类似的患者都进行截肢了,但患者年轻,保全肢对患者来说极为重要,余国勇医生坚持克服种种困难为患者进行了保肢手术。经积极抢救,急诊手术顺利,患者生命体征平稳。
  随后余国勇医生克服各种困难又为患者进行了两次手术,为患者得到了成功的救治并保全了肢体,此类手术的成功开展给当地患者的带来了福音,也扩大了中国医疗队的影响力。中国医疗队不远万里来到非洲苏丹这片热土上,用青春和汗水不断的去诠释和贯穿“不畏艰苦,甘于奉献,救死扶伤,大爱无疆”援外医疗精神。
  (第37批援苏丹中国医疗队)